Artık Takma Dişlere Veda...
Yayınlanma:
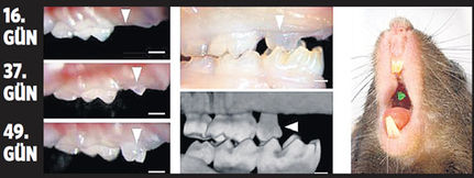
Kök hücreden diş ürettiler.Japonya’nın RIKEN Enstitüsü’nde gerçekleştirilen bir araştırmada, kök hücrelerden diş üretildi. Fareler üzerinde test edilen araştırmada hayvanın dişinden alınan kök hücreleri, başka bir...
Kök hücreden diş ürettiler.
Japonya’nın RIKEN Enstitüsü’nde gerçekleştirilen bir araştırmada, kök hücrelerden diş üretildi. Fareler üzerinde test edilen araştırmada hayvanın dişinden alınan kök hücreleri, başka bir fareye enjekte edildi. Aradan geçen 15 gün sonra ise geliştiği gözlenen hücre ikiye ayrıldı ve diş başarıyla büyümeye devam etti. Araştırmayı yürüten Takashi Tsuji, “Ürettiğimiz dişler, normal bir dişin yarısı büyüklüğünde. Takma dişlerin sonu gelebilir. İleride insanlar üzerinde de başarılı olacağını düşünüyoruz. Özellikle çocuk dişleri için faydalı olacak” ifadelerini kullandı. Bu yöntemle hem dişçi korkusu en aza inecek hem de çürüyen ve çekilen dişlerin yenisi tıpkı süt dişi gibi sağlıklı o larak geri gelebilecek.
