Erken teşhis hayat kurtarıyor! Uzmanlar bu 8 belirtiye dikkat çekiyor!
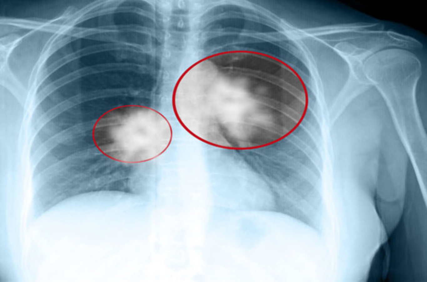
Akciğer kanserinin erken evrede teşhis edilebilmesi için belirtilerde zaman kaybetmeden doktora başvurulması ve yakınması olmasa dahi sigara içen 40 yaş üstü kişilerin yıllık akciğer tomografilerini yaptırmaları çok önemli. Uzmanlar bu konuda sık sık uyarılarda bulunurken, aynı zamanda akciğer kanserinin 8 belirtisi hakkında da bilgilendirme yapıyor. İşte detaylar…

SÜRESİ UZUN ÖKSÜRÜK
Kuru ya da balgamlı öksürük özellikle de kanlı balgam var ise akciğer kanseri için önemli bir belirti olabilir. Sigara içen kişiler genelde öksürüklerini KOAH hastalığına bağlayıp doktora gitmeyi erteliyor fakat öksürük 2-3 haftayı geçtiyse ve halen devam ediyorsa mutlaka bir hekime muayene olunmalıdır.

Erken teşhis hayat kurtarıyor! Uzmanlar bu 8 belirtiye dikkat çekiyor!
Giriş: 15.03.2023 - 10:42Güncelleme: 15.03.2023 - 10:42
Akciğer kanseri dünyada her iki cinsiyet göz önüne alındığında en sık görülen kanser türü olarak ilk sırada yer alıyor. Araştırma sonuçlarından elde edilen verilere göre; tüm yeni tanı alan kanserlerin yüzde 12.3’ünü ise akciğer kanseri oluşturuyor. Akciğer kanserinde erken teşhis hayati önem taşıyor. Uzmanlar bu 8 belirtiye dikkat çekiyor!
ABONE OL
HABERTURK.COM
Sağlık 1 saat önceKaraciğeri 20 yaş gençleştiriyor!
Sağlık 1 saat önceYaza girmeden formunuzu koruyun! Kilo aldırmayan ...
Sağlık 1 saat önceGünde bir bardak: Cildi sıkılaştırıp selülitleri ...
Sağlık 7 saat önceKolesterolü düşürerek kalp ve damar hastalıklarını ...
Sağlık 7 saat önceKolesterolü düşürerek kalbe iyi geliyor! Uzmanların ...
Sağlık 15 saat önceVücutta yakılan yağ nasıl atılır?
Akciğer kanserinin erken evrede teşhis edilebilmesi için belirtilerde zaman kaybetmeden doktora başvurulması ve yakınması olmasa dahi sigara içen 40 yaş üstü kişilerin yıllık akciğer tomografilerini yaptırmaları çok önemli. Uzmanlar bu konuda sık sık uyarılarda bulunurken, aynı zamanda akciğer kanserinin 8 belirtisi hakkında da bilgilendirme yapıyor. İşte detaylar…
SÜRESİ UZUN ÖKSÜRÜK
Kuru ya da balgamlı öksürük özellikle de kanlı balgam var ise akciğer kanseri için önemli bir belirti olabilir. Sigara içen kişiler genelde öksürüklerini KOAH hastalığına bağlayıp doktora gitmeyi erteliyor fakat öksürük 2-3 haftayı geçtiyse ve halen devam ediyorsa mutlaka bir hekime muayene olunmalıdır.

KANLI BALGAM
Balgamda kan KOAH, zatürre ve tüberkülozun yanı sıra akciğer kanserinin de önemli belirtileri arasında yer alıyor. Kan taze ve kırmızıysa akciğer dışındaki bir sorundan kaynaklanıyordur. Kahverengiyse mideden geliyordur. Kan balgam ile karışıksa akciğerle ilgilidir ve vakit kaybetmeden doktora başvurmalısınız.

HALSİZLİK
Kanser türlerinin tümünde görüldüğü gibi akciğer kanserinde de önemli belirtilerden biri halsizliktir. Erken dönem habercilerinden biri olan halsizlik, kanser hücrelerinin akciğer fonksiyonlarını bozması ve nefes darlığı yapması sebebiyle ortaya çıkıyor.

İŞTAHSIZLIK - KİLO KAYBI
İştahsızlık ve kilo kayb genelde kanserin ileri evrelerinde görülmektedir fakat genelleme yapılamaz. Tüm evrelerde görülebileceği için eğer kendinizde hiç alışık olmadığınız bir iştahsızlık ve kilo kaybı durumu var ise mutlaka hekime başvurmalısınız.
SIK SIK ZATÜRE OLMAK
Sık sık zatürre oluyorsanız, hele birde akciğerin hep aynı bölgesinde ise sorun, altta yatan neden akciğer kanseri olabilir. Bu sebeple mutlaka ilgili hekime görünmenizi öneririz.

NEFES DARLIĞI
Nefes darlığı akciğer kanserinin tipik belirtilerinden biridir. Tümörün hava yolunu tıkaması sonucu oluştuğu için ileri evre belirtileri arasında yer almaktadır. KOAH ile karıştırılmamalıdır.
SES KISIKLIĞI - YUTMA GÜÇLÜĞÜ
Bu kanser türünde ses kısıklığı ve yutma güçlüğü sinir ya da doğrudan ana hava yolu tutulumuna işaret ediyor.

GÖĞÜS AĞRISI
Göğüs ağrısı akciğer zarının ya da kemiklerin tutulumundan kaynaklanabiliyor ve akciğer kanserinin ileri evresinde gelişiyor fakat göğsün anlaşılamayan yerinde olan bir ağrı kanserin her evresinde görülebiliyor. Bunun nedeni ise akciğerin, kitleyi yabancı bir cisim saydığı için dışarı atmaya çalışmasıdır.