Cilt Kanserinde Yeni Gelişme: Keşfedilen Cilt Kanserini Gözle Görmek Mümkün Değil!
Amerika Birleşik Devletleri’nde bulunan doktorlar, oldukça ilginç bir keşfe imza attı. Oregon eyaletinin en büyük şehri olan Portland’da dünyanın en küçük cilt kanseri bulundu. Kanserli bölge, bir kadının yanağında tespit edildi.
Oregon Sağlık ve Bilim Üniversitesinden (OHSU) dermatologlardan oluşan ekip, kapsamlı bir incelemenin ardından yanaktaki küçük noktanın aslında bir melanom olduğunu anladı. Keşif, “tespit edilen en küçük cilt kanseri” olarak Guinness Dünya Rekorları arasına girmeyi başardı.
Mikro Boyutlara Sahip

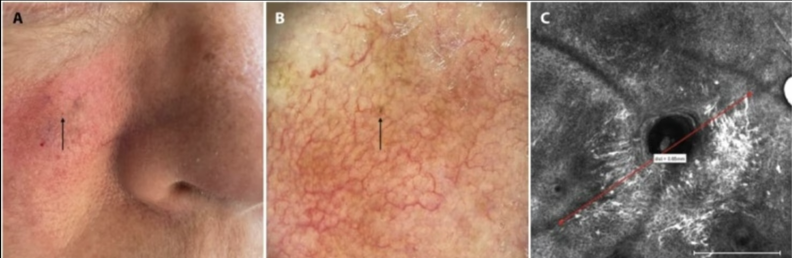
Kanserli kısmın boyutu yalnızca 0,65 milimetre. Bu nedenle de çıplak gözle görülmesinin oldukça zor olduğu belirtiliyor. Bu kadar küçük bir şeyin mikro bir cilt kanseri olduğunu doğrulamak, tahmin edebileceğiniz gibi araştırmacılar için oldukça zordu.
OHSU’daki doktorlar, anormal görünüme sahip bölgeler olan lezyonları incelemek için kullanılan “dermoskopi” ismi verilen bir teknikten yararlandı. Buna, hastanın derisini kesmeden lezyonların teşhisine ve incelenmesine olanak tanıyan Reflectance Confocal Microscopy isimli bir yöntem de eklendi.
Erken Aşamada Teşhis Edildi
Son teknoloji iki tekniğin kullanılması sonucunda da kanseri oldukça erken aşamada tespit edilebildi. Araştırmacı Alexander Witowski de kanserin vücudun diğer bölgelerine yayılma fırsatı bulamadan önce keşfedildiğini aktardı.
Webtekno'da yer alan habere göre, kanserin tespit edildiği Christy Staats isimli kadın, gözünün altındaki bu lekeye birkaç yıldır sahipti. Bu sürede birkaç doktor gördü; ancak çoğu onu ciltteki zararsız bir leke diyerek geri gönderdi. Staats, COVID zamanlarında noktanın büyüdüğünü görünce de OHSU’daki dermatologlara danıştı. İncelemeler sonucunda da çok küçük bir cilt kanserine sahip olduğu ortaya çıkarıldı. Araştırmacılar, bulgularını Dermatology Practical & Conceptual üzerinden yayınladı.