2007’den bu yana bir ilk: Akciğer vebası nedeniyle 1 kişi öldü

2007’den bu yana bir ilk: Akciğer vebası nedeniyle 1 kişi öldü
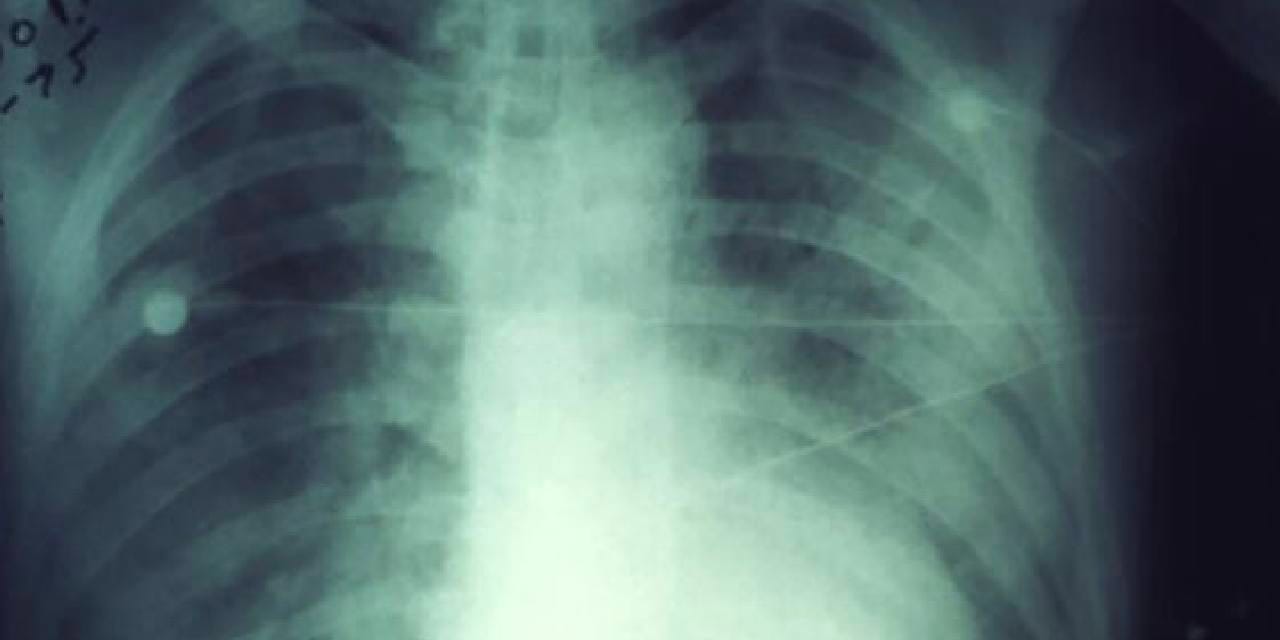
Arizona’nın Coconino bölgesinde 2007’den bu yana ilk kez bir kişi akciğer vebası nedeniyle yaşamını yitirdi; yetkililer, ölen kişinin kimliğine dair bilgi vermedi.

ABD’nin Arizona eyaletinde, 2007’den bu yana ilk kez bir kişi akciğer vebası nedeniyle hayatını kaybetti. Coconino bölgesi yetkilileri, internet sitesinden yaptıkları açıklamada, bir bölge sakininin akciğer vebası sonucu yaşamını yitirdiğini duyurdu.

AKCİĞER VEBASI CAN ALDI

Yetkililer, halk sağlığını koruma amacıyla durumu paylaştıklarını ancak yaşamını yitiren kişiye dair ayrıntılı bilgi vermeyeceklerini belirtti. Akciğer vebası, hızlı tedavi edilmediğinde ölümcül olabilen nadir bir enfeksiyon olarak biliniyor.

Kaynak:Demirören Haber Ajansı (DHA)