Minik Eymen Yardım Elinin Uzanmasını Bekliyor!
Skolyoz hastası Eymen'in minik bedeni o kadar ameliyatı kaldıramayacak...
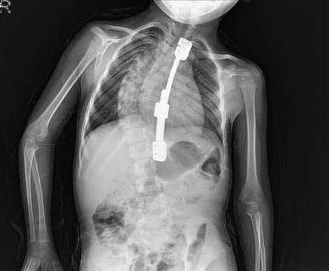
5 yaşındaki minik Eymen'in hemen skolyoz ameliyatı olması gerekiyor.
Doğuştan skolyozu (omurga eğriliği) olan Eymen Yasir Kapucu, iki kez devlet hastanesinde skolyoz ameliyatı oldu ancak ameliyatlar başarısızlıkla sonuçlandı. 15 yaşına kadar altı ayda bir ameliyat olması gereken Eymen'in doktorları ise; Eymen çok küçük olduğu için bu ameliyatları kaldıramayacağını söylüyor.
Eymen'in bir ameliyatla tedavisi mümkün. Ama bu sistem (rod sistem) yalnızca özel hastanede yapılıyor. Asgari ücretle geçinen ailenin ise minik Eymen'i ameliyat ettirebilecek ekonomik gücü yok. ailenin yakınları, aileye yardım elinin uzanmasını diliyor.
Tedaviyi yapacak doktor herhangi bir ücret almayacağını aileye açıkladı ancak hastane masraflarının karşılanabilmesi için Kapucu ailesi, yardım eli bekliyor.

HT