HAYDİ Kardelen'i yaşatmak için ele ele verelim!
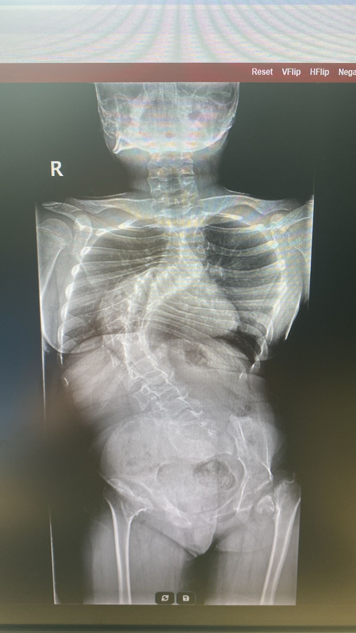
İzmir'de 16 yaşındaki Kardelen Akbay'a, 5 yaşında skolyoz tanısı konuldu. Düzenli aralıklarla hastane kontrolüne götürülen Kardelen Akbay'ın skolyoz eğrilik derecesi, gün geçtikçe arttı.

HASTALIĞI GÜN GEÇTİKÇE AĞIRLAŞTI
Pandemi döneminde kontrol sürecine 1 yıl ara verildi. Daha sonra kontrole götürülen Akbay'ın skolyoz eğrilik derecesinin yüzde 85'e kadar çıktığı belirtildi.
1,5 yıl boyunca doktor aradıklarını ancak riskli olduğu gerekçesiyle kızını ameliyat edecek bir doktor bulamadıklarını söyleyen baba Abdullah Akbay, bu süreçte Kardelen'in skolyoz eğrilik derecesinin 96'ya ulaştığını belirtti.
Skolyoz hastası Kardelen Kader Akbay ve ailesi tedavi için şehir şehir hastane gezdi ancak uygun bir yol bulamadı. tedavi masrafları ise karşılayabileceklerinin çok üstünde çıktı.
Sağlık durumu ağırlaştıkça yürümesi ağırlaştı, kısıtlandı. Yüzde 15 yaşama şansın olan genç kızın ameliyatını devlet hastaneleri üstlenmedi.

AMELİYATLA KURTULMA ŞANSIM VAR'
Bir an önce ameliyat olmak istediğini söyleyen Kardelen Akbay da "Küçük yaştan beri gitmediğimiz hastane kalmadı. Sonraki süreçte hastalığım ilerlediği için beni ameliyat edecek doktor bulamadık. Hangi doktora gidersek gidelim, bizi geri çevirdiler. Daha sonra İstanbul'da Ortopedi ve Travmatoloji Uzmanı Prof. Dr. Halil Atmaca'nın yanına gittik ve kimsenin yapmadığı ameliyatı yapmayı kabul etti. Kendisi de gireceği ameliyatın çok riskli olduğunu söyledi.
Ama Halil Hoca, 'Sen varsan, ben de elimi taşın altına koyacağım' dedi. Şu an eğrilik derecem 96 ve omuriliğim akciğerimi içine girmeye başlamış. Derecem biraz daha yükselirse, ameliyat şansım da kalmayacak ve hayati riskim artacak. Ameliyatın maliyeti 4 milyon TL ve bir an önce bu parayı toplamamız gerekiyor. Çünkü en kısa sürede ameliyat girmem gerekiyor. Çok küçük yaştan beri bu rahatsızlığı çektiğim için geri kalan hayatımda sağlıma kavuşmak istiyorum. Ameliyatla kurtulma şansım var; bu ihtimali değerlendirmek istiyorum" dedi

Kaynak:Halk TV Haber Merkezi