İranlı yolcunun uyuşturucu zulası ağızları açık bıraktı
Yayınlanma:
Kars'ta ekiplerin durdurduğu yolcu otobüsündeki İranlı yolcunun hareketlerinden şüphelenen ekipler yolcuyu hastaneye kaldırdı. Çekilen röntgen sonucunda İranlı yolcunun makatına uyuşturucu sakladığı görüldü.
Kars Emniyet Müdürlüğü Narkotik Suçlarla Mücadele Şube Müdürlüğü ekipleri, Digor-Kars kara yolunda yaptığı yol denetiminde, bir yolcu otobüsünde arama yaptı.
İRANLI YOLCUDAN ŞÜPHELENİLDİ
Polis ekipleri yol denetiminde, hareketlerinden şüphelendiği bir yolcuyu gözaltına aldı. Gözaltına alınan şahsın İran uyruklu F.G. olduğu öğrenildi. İran uyruklu F.G. ekipler tarafından Kars Harakani Devlet Hastanesi'ne götürüldü.
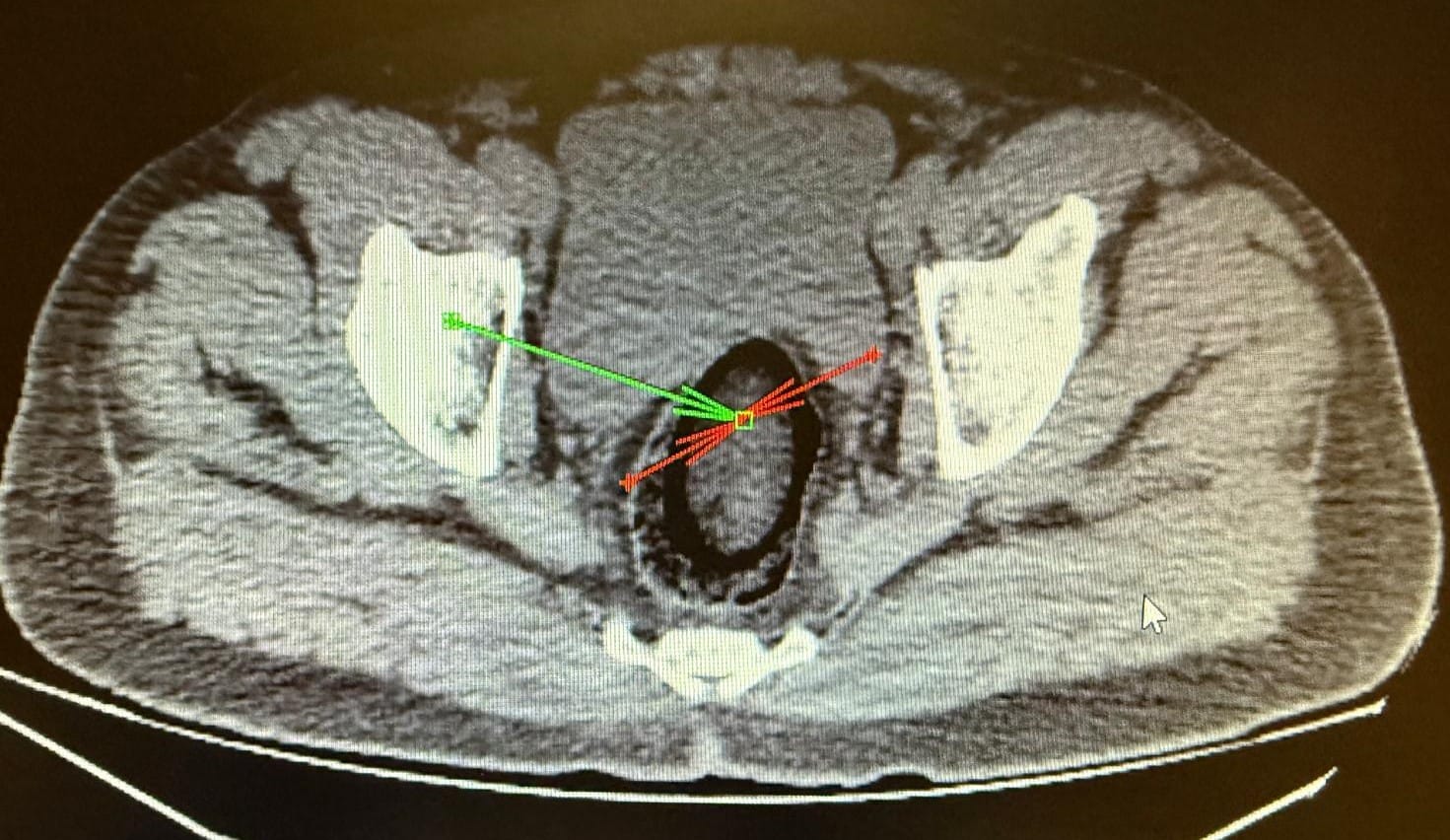
MAKATINA UYUŞTURUCU ZULALAMIŞ
Kars Harakani Devlet Hastanesi'ne götürülen F.H.'nin çekilen röntgeninde, makatında uyuşturucu tespit edildi. İranlı yolcunun makatına zulaladığı 105,98 gram metamfetamin, cerrahi operasyonla çıkarıldı.
TUTUKLANDI
Emniyetteki işlemlerinin ardından adliyeye sevk edilen İranlı yolcu , çıkarıldığı hakimlik tarafından tutuklanarak cezaevine gönderildi.


