Tıp Tarihinde Bir İlk! Bebeğe Anne Karnında Beyin Ameliyatı Yapıldı! Bebek Doğmadan Ölümden Kurtarıldı

Tıp Tarihinde Bir İlk! Bebeğe Anne Karnında  Beyin Ameliyatı Yapıldı! Bebek Doğmadan Ölümden Kurtarıldı
ABD'li doktorlar, türünün ilk örneği olan bir beyin ameliyatını çocuk henüz anne karnındayken gerçekleştirerek, doğmamış bir bebeği kesin ölümden kurtardı

Genetik bir bozukluk olan Galen damarı Malformasyonu'ndan (VOGM) muzdarip rahimdeki bebeğin kafatasını kesmeyi ve ardından gelişmekte olan beyni ameliyat etmeyi içeren titiz bir prosedür gerçekleştiren doktorlar, dünyada ilk kez yapılan operasyon ile birçok çocuğun hayatının kurtarılabileceğini müjdeledi.

Türünün ilk örneği olan ve hayat kurtaran bir prosedürle anne karnındaki bir bebeğe beyin ameliyatı yapıldı.

ABD'li doktorlar doğmamış çocuktaki ölümcül bir damar rahatsızlığını tedavi ederek doğumdan kısa bir süre sonra kalp yetmezliği ve felç geçirmesini önledi. Daha önce de rahimde beyin ameliyatı yapılmıştı, ancak Galen Damarı Malformasyonu (VOGM) adı verilen bu nadir hastalık için yapılmamıştı.

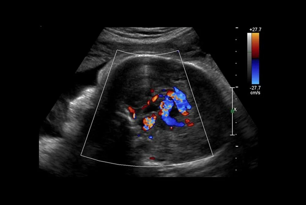
Anneyi 34. haftada ameliyat eden bilim insanları, operasyonu yönlendirmek için ultrason kullandı.

BEBEK SAĞLIKLI BİR ŞEKİLDE EVİNE DÖNDÜ

Boston Çocuk Hastanesi'nden Dr. Darren Orbach konuyla ilgili yaptığı açıklamada, "Genellikle doğumdan sonra görülen bebeğin sağlığındaki düşüşün ortaya çıkmadığını görmek bizi çok heyecanlandırdı. Şu anda altı haftalık olan bebeğin, ilaç kullanmadan, normal beslenerek ve kilo alarak eve döndüğünü bildirmekten memnuniyet duyuyoruz. Operasyonun beyin üzerinde herhangi bir olumsuz etki belirtisi yok." dedi.

GALEN DAMAR FORMASYONU HAKKINDA

Bununla birlikte, Galen Damar Malformasyonu (VOGM) her yıl yüzlerce bebeği etkiliyor ve çocuklar doğumun ilk birkaç gününden sonra hayatta kalamayabiliyor. Hastalık, beyindeki atardamarların kanı kılcal damarlar yerine doğrudan toplardamarlara akıtmasına neden olarak kalbin boğulmasına ve beyin hasarına yol açıyor.

Mevcut tedaviler ise şimdiye kadar bebeğin doğumundan sonrası ile sınırlıydı, ancak bu noktada çoğu vakada beyin hasarı çoktan meydana gelmiş oluyordu.

"Stroke" adlı bilimsel dergide sonuçları açıklanan yeni cerrahi operasyon, hastalığı bebeği etkilemeden önce iyileştirmeyi amaçlıyor.

Diğer taraftan, operasyon kapsamında 10 sağlık görevlisinden oluşan bir ekip, annenin karnından uzun bir iğneyi bebeğin beyninin arterlerin etkilendiği kısmına yönlendirmek için ultrason kullandı. Doktorlar, daha sonra damarlara geri akışı engellemek için damar içine küçük bir madde enjekte etti.

Dr. Orbach, "Bu yaklaşım, Galen Damarı Malformasyonu’nun tedavisinde büyük bir potansiyele sahip. Malformasyonu doğumdan önce onarıyoruz ve doğumdan sonra tersine çevirmeye çalışmak yerine kalp yetmezliğini ortaya çıkmadan önlüyoruz. Bu, bu bebekler arasında uzun vadeli beyin hasarı, sakatlık veya ölüm riskini önemli ölçüde azaltabilir." diye konuştu.